Diastema Closure (ডায়াস্টেমা ক্লোজার)

Diastema Closure হলো দাঁতের মধ্যে ফাঁকা জায়গা (gap) বন্ধ করার একটি ট্রিটমেন্ট। এটি সাধারণত সামনের দাঁতের ফাঁকা জায়গা বন্ধ করতে ব্যবহৃত হয়, যা দাঁতের সৌন্দর্য বাড়ায়।

What is the service?

Diastema Closure হলো দাঁতের মধ্যে ফাঁকা জায়গা (gap) বন্ধ করার একটি ট্রিটমেন্ট। এটি সাধারণত সামনের দাঁতের ফাঁকা জায়গা বন্ধ করতে ব্যবহৃত হয়, যা দাঁতের সৌন্দর্য বাড়ায়।

What is the service?

Why do patients need it?

যদি আপনার দাঁতের মধ্যে ফাঁকা জায়গা থাকে এবং আপনি আপনার হাসি আরও সুন্দর করতে চান, তাহলে Diastema Closure করা প্রয়োজন। এটি দাঁতের সৌন্দর্য বাড়ায় এবং আত্মবিশ্বাস বৃদ্ধি করে।

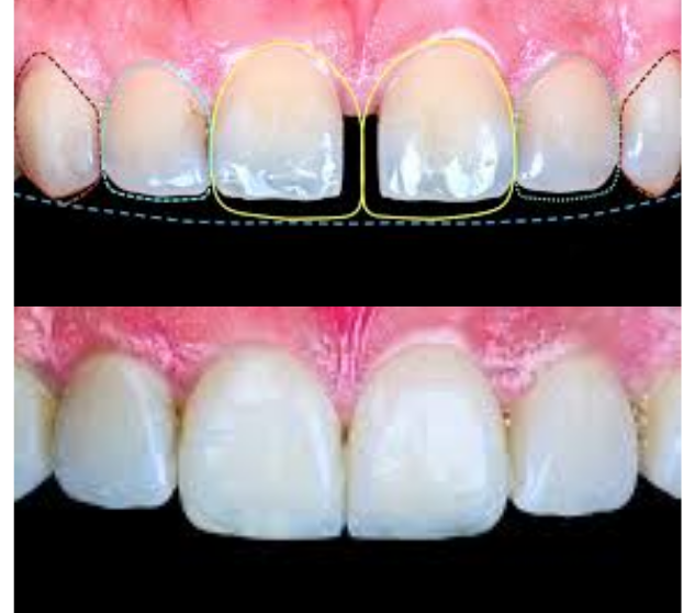
How is it done?

ডেন্টিস্ট প্রথমে আপনার সমস্যা সম্পর্কে জানেন, তারপর আপনার দাঁত এবং মুখগহ্বর পরীক্ষা করেন। প্রথমে দাঁতের ফাঁকা জায়গা পরিষ্কার করা হয়, তারপর কম্পোজিট মেটেরিয়াল বা ভিনিয়ার ব্যবহার করে ফাঁকা জায়গা বন্ধ করা হয়।

How does Dr. Roksana Akter Bithi do it perfectly?

How does Dr. Roksana Akter Bithi do it perfectly?

ডাঃ রোকসানা আক্তার বিথি আপনার সমস্যা মনোযোগ দিয়ে শোনেন এবং সম্পূর্ণ ধৈর্য সহকারে পরীক্ষা করেন। ডাঃ রোকসানা বিথি হাই-কোয়ালিটি কম্পোজিট মেটেরিয়াল এবং ভিনিয়ার ব্যবহার করে Diastema Closure সম্পন্ন করেন। তিনি নিশ্চিত করেন যে ফাঁকা জায়গা সম্পূর্ণভাবে বন্ধ হয় এবং দাঁতের রঙের সাথে মিলে যায়। তার দক্ষতা এবং যত্ন নিশ্চিত করে যে আপনার হাসি আরও সুন্দর এবং প্রাকৃতিক দেখাবে।